Posted by
Preservazione alveolare e successivo inserimento di un impianto nella sede di un canino superiore incluso

Preservazione alveolare e successivo inserimento di un impianto nella sede di un canino superiore incluso

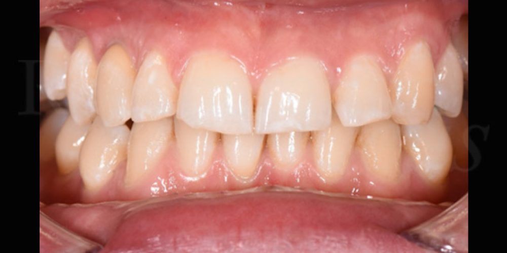
Preservazione alveolare e successivo inserimento di un impianto nella sede di un canino superiore incluso. Studio dentistico Viola Sozzi a Roma – Questo caso a cura del Dr. Massimo Viola è stato pubblicato su Regeneration Focus   Sesso: M Età: 29 anni Patologie pregresse: Nessuna Situazione ossea: L’anatomia dell’alveolo dell’elemento incluso impediva il posizionamento protesicamente […]