La Deglutizione Atipica: Quando dovrebbe essere corretta? Studio Dentistico ViolaSozzi a Roma. La deglutizione è un complesso atto fisiologico che permette la progressione ed il trasporto del bolo alimentare, della saliva e dei liquidi della cavità orale allo stomaco. Si ripete tra le 1400 e le 2400 volte nelle 24 ore, con una media di […]
Diagnosi della carie con l’innovativo sistema DIAGNOcamTM senza emissione di raggi X ideale in età pediatrica e nelle donne in Gravidanza. Studio Dentistico ViolaSozzi a Roma.Articolo a cura della Dott.ssa Giulia Silvio, pedodontista. La carie dentaria è una delle patologie croniche più diffuse nella popolazione generale ed in età pediatrica in particolar modo. In Italia […]
Preservazione alveolare e successivo inserimento di un impianto nella sede di un canino superiore incluso. Studio dentistico Viola Sozzi a Roma – Questo caso a cura del Dr. Massimo Viola è stato pubblicato su Regeneration Focus Sesso: M Età: 29 anni Patologie pregresse: Nessuna Situazione ossea: L’anatomia dell’alveolo dell’elemento incluso impediva il posizionamento protesicamente […]
Preservazione alveolare e inserimento impianto nella sede di un canino incluso. Studio Dentistico Viola Sozzi a Roma. Qui viene presentato il caso clinico per la preservazione alveolare e inserimento nella sede di un canino incluso uscito su Italian Dental Journal. La preservazione della cresta alveolare a margine di una estrazione dentaria consente di ridurre al […]
Ortodonzia invisibile. Studio Dentistico Viola Sozzi a Roma. L’Ortodonzia trasparente è una nuova branca dell’ortodonzia che utilizza allineatori in resina trasparente. Si tratta di un trattamento altamente estetico in quanto gli allineatori sono quasi invisibili e di reale efficacia terapeutica. Questa metodologia ortodontica è indicata in tutti coloro che volessero effettuare un trattamento senza l’inestetismo […]
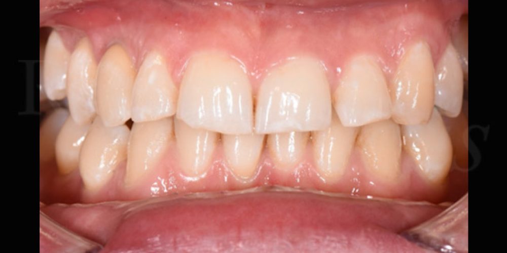
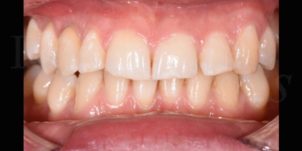
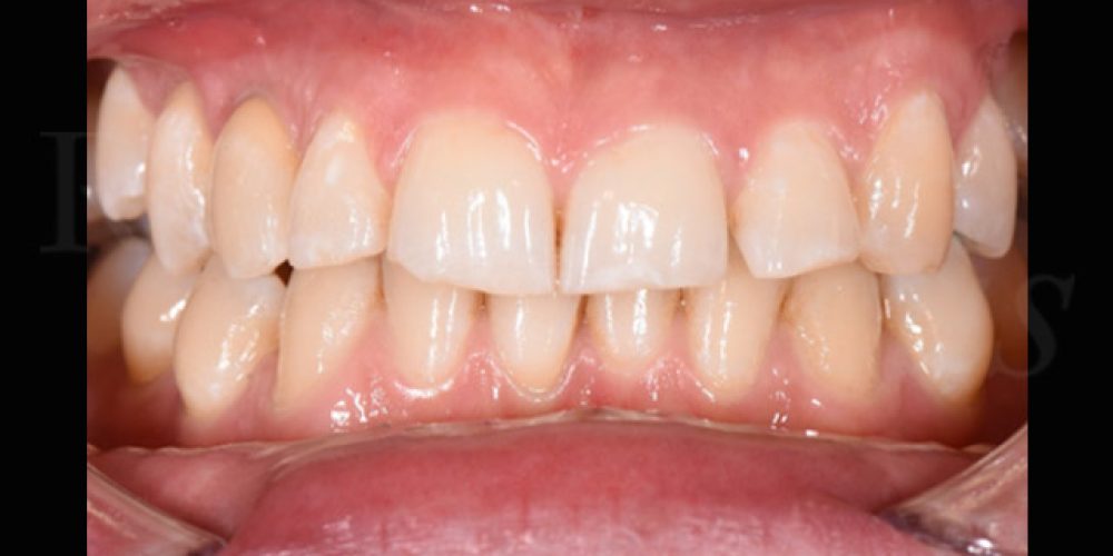
Sostituzione Incisivo Centrale Superiore – Riabilitazione Incisivo Centrale Superiore con corona implanto-supportata Studio Dentistico Viola Sozzi a Roma LA PIANIFICAZIONE COMPUTER GUIDATA DA ESEGUIRE: ESTRAZIONE DELL’ELEMENTO COMPROMESSO, INSERIMENTO IMMEDIATO DELL’IMPIANTO E CARICO IMMEDIATO LA CONSEGNA DELLA CORONA PROTESICA DEFINITIVA
Dente del giudizio: facciamo chiarezza. Studio Dentistico Viola Sozzi a Roma. Problema frequentissimo per i pazienti è il dolore al dente del giudizio. Cercheremo di fare chiarezza. Cause Nel 90 % dei casi i problemi legati ai denti del giudizio sono da riferirsi alla pericoronite. Con tale termine si intende l’infiammazione dei tessuti che si trovano intorno […]
Sbiancamento dentale: in cosa consiste? Lo sbiancamento dei denti è una procedura odontoiatrica che può essere eseguita dall’odontoiatra o dall’igienista dentale, consiste nell’applicare sui denti dei gel a base di perossido di idrogeno o di carbamide al fine di sbiancare i denti. Da non confondere con la rimozione estrinseca delle macchie, che viene effettuata con […]
Parodontite: diagnosi e terapia. Studio Dentistico Viola Sozzi a Roma. Le malattie pardodontali in italia colpiscono oltre il 66% delle persone. Queste si manifestano dalle più banali gengiviti sino a parodontiti gravi che compromettono la normale dentatura e fanno perdere i denti. Purtoppo le parodontopatie si caratterizzano per non avere sintomi specifici, infatti soltanto una […]

Commenti recenti